Проф. гигиена полости рта (чистка зубов) в Махачкале
Просмотров: 358
Понедельник, 28 декабря 2020 г.

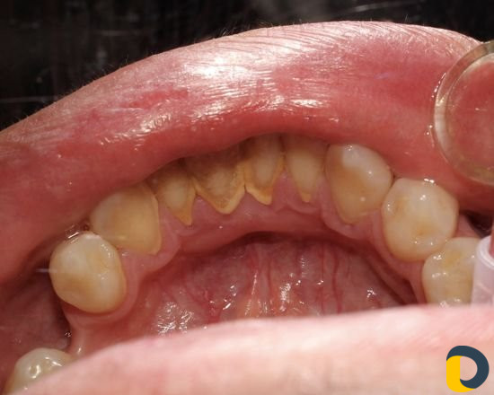
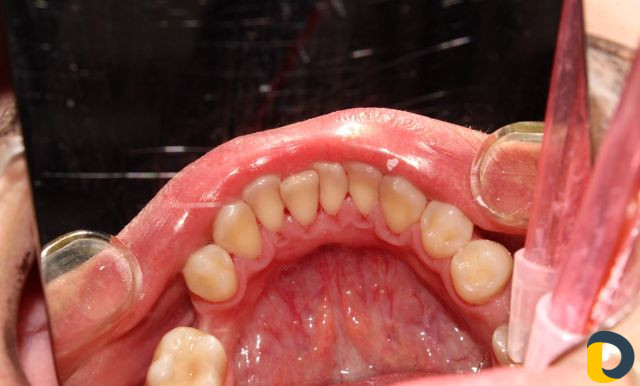
Акция!!! 1200₽ вместо 2000₽!!! Удаление зубного налёта и камня! Спешим!!! В центре города, рядом с ДЖУМА-мечетью. Акция действует до конца октября!
- Регион: Дагестан
- Город: Махачкала
- Район: Советский
- Адрес: ул. Абубакарова, 109
- Цена: 1200р
На карте


